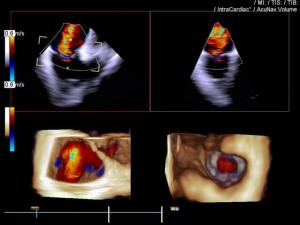
Siemens Healthineers has announced that it has received CE Mark for the AcuNav Volume ICE (intracardiac echocardiography) catheter, an imaging guide that provides real-time, wide-angle visualisation of heart anatomy during structural heart and electrophysiology procedures.
LivaNova has successfully completed the initial closing of the divestiture of its heart valve business to Gyrus Capital, an investment firm dedicated to investments in the healthcare and sustainability sectors, for an enterprise value of €60 million (US$73 million).
Sinomed has announced results from the HT Supreme healing-targeted drug-eluting stent (DES), in complex patients compared to the Xience (Abbott Cardiovascular) or Promus (Boston Scientific) family of DES. One-year results were presented at the 2021 EuroPCR annual congress (18–20 May, virtual), showing that the devices have similar clinical safety and effectiveness.
A call for greater investment in surgical facilities in the UK in the wake of the COVID-19 pandemic has been welcomed by the president of the Society for Cardiothoracic Surgery in Great Britain and Ireland (SCTS), who says the pandemic has highlighted the need for greater resources to support cardiac surgery.
Interventional cardiologists from across the globe are joining forces for a campaign reinforcing the crucial message that patients with heart disease should, by all means, continue seeking timely cardiac care, and access to cardiovascular services that has been restricted due to the COVID-19 pandemic needs to be re-established with every emphasis.
Foldax has announced the successful first-in-human use of its biopolymer Tria heart valve in surgically replacing a diseased mitral valve. The first case was performed by David Heimansohn, at Ascension St. Vincent Hospital, Indianapolis, USA, as part of a US early feasibility research study.
Procyrion has announced the treatment of the first patients in the pilot trial to evaluate the performance of its novel Aortix percutaneous mechanical circulatory support (pMCS) device in patients with cardiorenal syndrome (CRS). The company began its pilot trial in Australia and recently expanded to the USA after receiving Investigational Device Exemption (IDE) approval in April from the US Food and Drug Administration (FDA).
OrbusNeich and P&F Products & Features, under the joint partnership OrbusNeich P&F, have announced that the TricValve transcatheter bicaval valves system has received CE mark approval.
Results of an observational study using optical coherence tomography (OCT) to assess the efficacy of orbital atherectomy in the treatment of calcified coronary lesions using the Diamondback 360 system (Cardiovascular Systems) have been presented at EuroPCR 2021 (18–20 May, virtual).
Switching from ticagrelor to clopidogrel dual antiplatelet therapy (DAPT) after 30 days was safer and more effective in preventing adverse events at one year than continuing on a high-potency DAPT regimen in patients undergoing percutaneous coronary intervention (PCI) for acute myocardial infarction, according to data presented at the American College of Cardiology’s 70th Annual Scientific Session (ACC.21, 15–17 May, virtual).
Discrimination and harassment are a common experience among those working in cardiology, according to the findings from a global survey carried out by the American College of Cardiology (ACC), which have been published in the Journal of the American College of Cardiology(JACC). Responses suggest that as many as 44% of cardiologists report experiencing a hostile work environment (HWE) including being subject to emotional or sexual harassment, or discrimination.
A significant proportion of cardiology trainees are uncomfortable with using telemedicine and feel that better preparation for new-tech medicine is needed, findings of a surveypublished in the Canadian Journal of Cardiology indicate.
Performance diagnostique de l’interféron gamma dans l’identification de l’origine tuberculeuse des pleurésies exsudatives
A Mixed Phenotype of Airway Wall Thickening and Emphysema Is Associated with Dyspnea and Hospitalization for Chronic Obstructive Pulmonary Disease.
Radiological Approach to Asthma and COPD-The Role of Computed Tomography.
Significant annual cost savings found with UrgoStart in UK and Germany
Thrombolex announces 510(k) clearance of Bashir catheter systems for thromboembolic disorders
Phone: (028) 3981 2678
Mobile: 0903 839 878 - 0909 384 389







